OPTIKA - AKCIA 1+1 PÁR NA MULTIFOKÁLNE, VÝROBNÉ A SLNEČNÉ OKULIAROVÉ ŠOŠOVKY NAJVYŠŠEJ KVALITY OD FRANCÚZSKEJ SPOLOČNOSTI "ESSILOR"            ESTETIKA - AKCIA NA APRÍL - LENISNA & JUVELOOK - 2 ROČNÁ VÝPLŇ A STIMULÁTOR KOLAGÉNU - OMLADENIE A SPEVNENIE PLETI    - ŠKOLENIA A WORKSHOP - 2. MÁJ - TAJOMSTVO CELOROČNÉHO PÍLINGU A MEZOTERAPIA S RASTOVÝMI FAKTORMI - Školenie pre kozmetológov  ❤️ 20. MÁJ - PBSERUM MEDICAL - LIPOLYTIKUM A LOSOSIE SPERMIE - POLYNUKLEOTIDY - Školenie pre lekárov estetickej medicíny  ❤️  BRAND MANAGERS PRIHLÁŠKY: Ing. Lucia Keštefranová + 421 940 943 400, Mgr. Anna Puchá + 421 948 903 007             

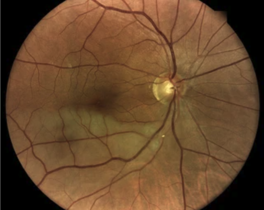
RETINÁLNA OKLÚZIA

Retinálna oklúzia (Retinal Vein/Artery Occlusion)
retinal occlusion je vážne očné ochorenie spôsobené upchatím cievy v sietnici, ktoré vedie k zníženiu prísunu krvi a kyslíka do očnej sietnice. Ak sa nelieči, môže spôsobiť trvalé poškodenie zraku.
 

Typy retinálnej oklúzie
  1. Retinálna žilová oklúzia (RVO)
    • najčastejšia forma
    • dochádza k zastaveniu odtoku krvi zo sietnice, čo spôsobuje opuch a krvácanie
  2. Retinálna arteriálna oklúzia (RAO)
    • náhla strata centrálneho videnia
    • často spojená so srdcovo-cievnymi ochoreniami

Príznaky
  • náhla alebo postupná strata videnia v jednom oku
  • tmavé škvrny alebo záclony v zornom poli
  • niekedy bolesť oka alebo tlak (pri žilovej forme zriedkavo)
Ak sa tieto príznaky objavia, okamžite navštívte očného lekára

Diagnostika
  • oftalmoskopické vyšetrenie
  • fluoresceínová angiografia – hodnotenie prietoku krvi
  • OCT – detekcia opuchu makuly
  • vyšetrenie krvného tlaku a cievneho systému


 




Liečba
  1. Farmakologická terapia:
    • injekcie anti-VEGF – znižujú opuch a podporujú zrak
    • kortikosteroidy – pri opuchu makuly
  2. Laserová fotokoagulácia:
    • pri žilových oklúziách na prevenciu neovaskularizácie
  3. Kontrola rizikových faktorov:
    • vysoký tlak, cukrovka, cholesterol, krvné zrazeniny

Prevencia
  • pravidelná kontrola očí a kardiovaskulárneho zdravia
  • vyhýbanie sa rizikovým faktorom (fajčenie, vysoký tlak, cukrovka)
  • okamžité vyšetrenie pri náhlej strate zraku
Prečo sú pravidelné kontroly dôležité?
  • očné ochorenia môžu dlho prebiehať bez príznakov
  • včasná diagnostika a liečba zachraňuje zrak

Objednajte sa ešte dnes
Rýchly termín, moderné vybavenie a individuálny prístup.
Vaše oči si zaslúžia profesionálnu starostlivosť.
 
Objednajte sa na vyšetrenie k nášmu lekárovi,
ktorý vám poradí a nadstaví liečbu a dioptrie.


OBJEDNANIE - VYŠETRENIE V OČNEJ AMBULANCII MAURO SIMON